Этот вопрос один из самых частых на консультациях у хирургов перед сезоном отпусков. В целом пластические операции не имеют никаких сезонных ограничений. Однако у летней пластики есть свои особенности. Но, если учесть некоторые нюансы, то результат превзойдет все ожидания. Какие? Сейчас расскажем.
Ринопластика летом
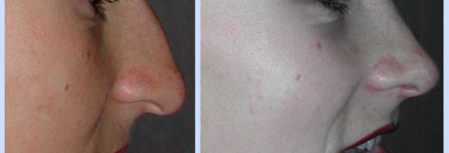
Летом коррекция носа проводится точно также, как и в любое другое время года. А вот реабилитация предполагает ряд ограничений. После хирургического вмешательства нельзя загорать и плавать, особенно нырять в бассейн или море, т.к. в рубец может попасть инфекция, а на костные структуры повысится давление. К тому же, придется отказаться от ношения очков, ведь на переносице не менее 2-х недель будет фиксирующий пластырь, да и потом в течение 2—3 месяцев создавать дополнительную нагрузку на нос нежелательно. Поэтому, чтобы не лишать себя летних радостей и не испытывать дискомфорт, ринопластику лучше проводить после отпуска на море.
Зато летом вы точно не отморозите кончик носа, а вот зимой такой риск высок. Дело в том, что после ринопластики чувствительность, в том числе к низким температурам, восстанавливается не сразу. Единственный случай, когда коррекцию носа действительно лучше перенести на осень — проблемы с сосудами и гипертония.
Блефаропластика летом
Лето — один из лучших периодов для блефаропластики как нижних, так и верхних век. Процессы заживления в теплое время года проходят быстрее. Поэтому, сделав коррекцию в начале отпуска, на работу можно будет вернуться преобразившимися и помолодевшими, и никто ничего не заметит. Солнечные очки надежно скроют хирургическое вмешательство во время реабилитации и защитят от попадания солнечных лучей. Однако все равно очень важно регулярно наносить на область вокруг глаз солнцезащитное средство со SPF не менее 50, чтобы предотвратить появление посттравматической гиперпигментации.
Маммопластика летом
До сих пор можно встретить устаревший миф, что пластику груди нельзя проводить летом из-за активности микробов и риска загноения швов. Возможно, так было 15 лет назад, но сегодняшние технологии и материалы полностью исключают такую вероятность. Например, один из городов рекордсменов по количеству проведенной маммопластики — Лос-Анджелес, где солнце палит круглый год и точно не считается помехой. Поэтому летом в российском климате можно уж точно не бояться устанавливать импланты. Однако к некоторым неудобствам во время реабилитации все же нужно быть готовой. Месяц придется постоянно носить компрессионное белье, при этом водные процедуры нужно будет ограничить. Не очень приятные ощущения в условиях сильной жары. Но, если немного потерпеть, то можно успеть уже в ближайший «бархатный сезон» продемонстрировать соблазнительные формы на пляже.
Минусы пластики летом
Недостатков у пластических операций летом не так много, но все же они есть. Большинство минусов связано с ограничениями во время реабилитации, а именно с ношением компрессионного белья, бандажа или специальных фиксирующих повязок. Кожа под ними быстрее потеет, что вызывает дискомфорт. К тому же, место шва некоторое время нельзя мочить, а значит и душ и ванна, не говоря уже о море или бассейне, будут под запретом. Не стоит также забывать, что лето — сезон отпусков. Хирург, у которого вы мечтали сделать нос или грудь, попросту может оказаться на отдыхе.
Плюсы пластических операций летом
Летом мы едим больше витаминов, наш иммунитет повышается, а коллаген и эластин синтезируются активнее. В таких условиях заживление тканей происходит гораздо быстрее. Для тех, кто не хочет афишировать пластику, летний отпуск — отличная возможность ненадолго исчезнуть и вернуться уже с новым лицом или телом. А еще приятным бонусом станут летние скидки. Из-за отпусков пациентов летом традиционно меньше и, чтобы их привлечь, многие клиники устраивают сезонные акции.
Таким образом, пластику летом делать не только можно, но и выгодно. Главное — неукоснительно соблюдать меры предосторожности и все рекомендации врача.
Ведущие пластические хирурги
Фото: gr.pinterest.com/, kolorowypingwin.pl/, travm.info/, www.badfon.ru/, 1.bp.blogspot.com/












Выход


